🦴 What Is a Spinal Fusion?
A spinal fusion is a surgical procedure where two or more vertebrae are permanently joined together. This is often done to reduce pain, stabilize the spine, or address conditions such as degeneration, instability, or injury.
Once fused, those bones no longer move independently. While this can be necessary and helpful in certain situations, it also means the rest of the spine must adapt. The joints above and below the fusion often take on more workload, which can lead to stiffness, discomfort, or added stress over time if the body isn’t properly supported.
That’s where chiropractic care can play an important role.

Myth:
“If part of your spine is fused, chiropractic care won’t help, or you’re not a candidate for care.”
Truth:
Having a spinal fusion does not automatically disqualify someone from chiropractic care. In fact, it can make care even more important.
When a section of the spine is surgically fused, those bones are no longer able to move. That means the surrounding areas must work harder, move differently, and absorb more stress to keep the body balanced and functional. Over time, this can lead to stiffness, discomfort, and compensation patterns if those segments aren’t functioning optimally.
Chiropractic care does not adjust fused segments. Instead, it focuses on:
- Supporting the surrounding joints and tissues
- Improving overall alignment and mobility
- Reducing unnecessary stress on the nervous system
- Helping the body adapt more efficiently to structural changes
Many people with fused spines report improvements in movement, energy, posture, and overall quality of life once their nervous system is functioning better.
✨ The goal isn’t to “undo” a fusion, it’s to help the rest of the body work smarter, stronger, and more efficiently around it.
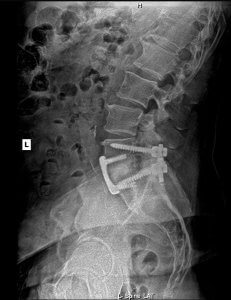
A Real-Life Example
Below, you’ll see Jeff’s X-rays, taken when he first began care and again just four months later. Jeff has a medical fusion in his lower spine, yet under chiropractic care, his body adapted beautifully. Not only did he regain movement, energy, and the ability to enjoy activities like walking a full 18 holes of golf pain-free, but we also saw meaningful structural changes in his spine, including improved alignment, disc spacing, and restoration of his natural lumbar curve.
Jeff’s story is a powerful reminder that every spine has potential, even when it looks “different” on X-ray.
We are excited to continue supporting Jeff through natural chiropractic care as he works toward new goals and adds more movement, freedom, and joy back into his life.
If you’ve ever been told chiropractic isn’t for you or assumed it wouldn’t help, let this be your encouragement to explore what’s possible.
Sometimes, the right support is all your body needs to do what it was designed to do.
Starting Care: Follow-Up Check:


